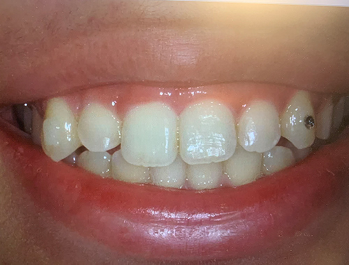
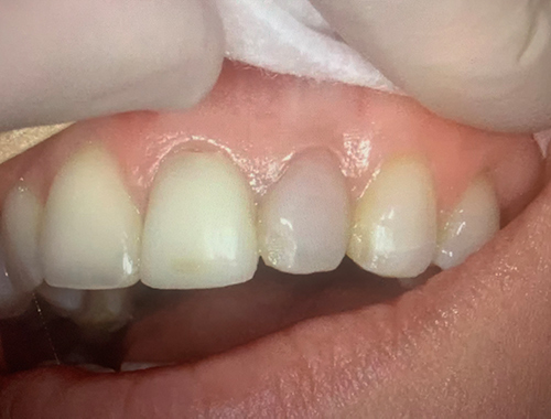
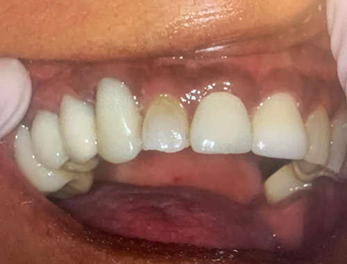
Resin Bonding

Before

After
Resin Bonding

Before

After
Resin Bonding to Improve Smile Line

Before

After
Invisialign Treatment Period - 10 Months

Before

After
Braces Treatment Period - 12 months

Before

After
Invisialign Treatment Period - 12 Months

Before

After
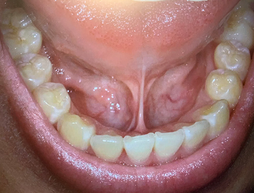
Tongue-Tie Release using laser 1 week after the treatment

Before

After
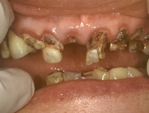
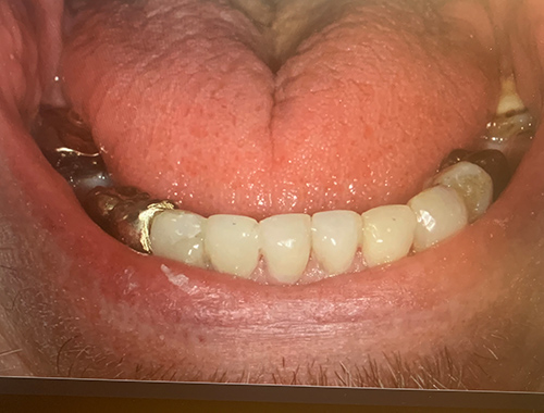
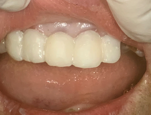
Immediate Tooth Replacement with Marilyn Bridge

Before

After
Internal Bleaching result in 2 weeks

Before

After
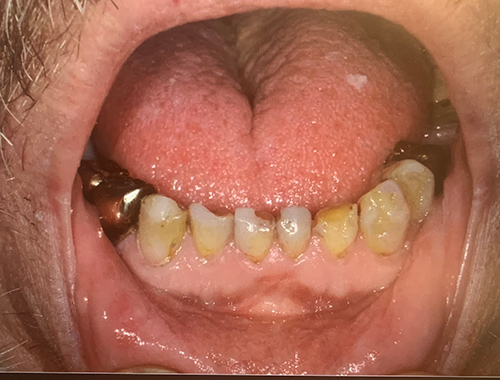
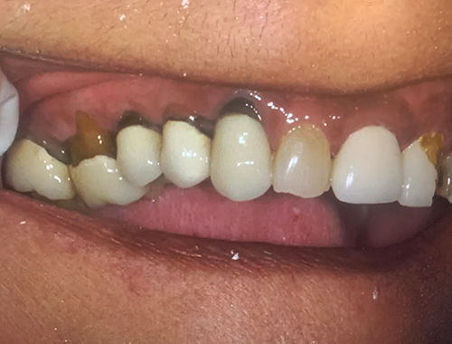
Resin Bonding to cover up the stained roots below old crown margins

Before

After
Implant to replace broken tooth

Before

After
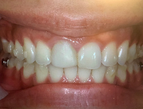
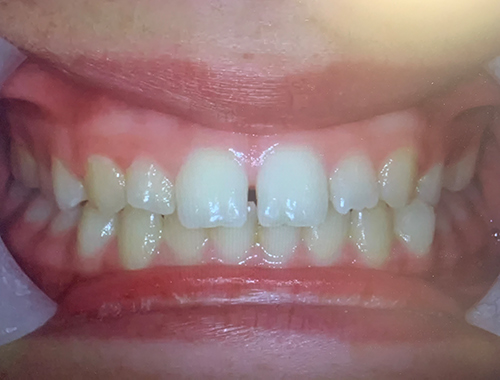
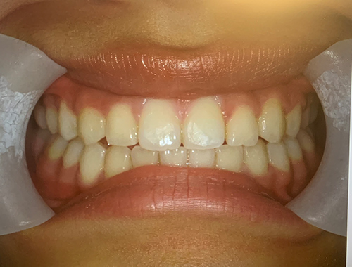
Veneers Cosmetic Dentistry

Before

After
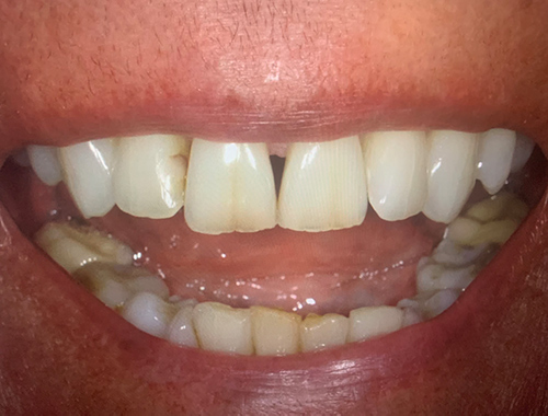
Diastema Closure using Braces - 12 months

Before

After
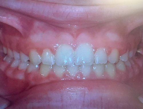
Braces for 18 months

Before

After
Visit Our Office
Santa Clara, CA
3993 Stevens Creek Blvd, Santa Clara, CA 95051
Email: office@wellbeingdentistry.com
Book NowOffice Hours
- MON - FRI8:00 am - 5:00 pm
- SAT - SUNClosed
